Der französische Beatboxer MB14 hat sich von CANAL+ in eine schicke Bude einladen lassen, um ein bisschen mundgemachte Musik zu präsentieren. Stark! Quelle: koreus
Okay, was SHOW-GO hier abzieht ist nicht nur technisch verdammt gut gemacht, das hört sich auch abseits der Beatbox-Mechanik ziemlich nice an! „You’re Gone“ ist ein selbst-komponierter und komplett mundgemachter Track des japanischen Beatboxers – […]
Oh, wie interessant! Beatboxer VerbalaseAdym hat in einem Video aufgezeigt, wie er seine Beatbox-Sounds notiert. Wusste gar nicht, dass man das überhaupt macht, obwohl es natürlich total Sinn macht. Ein etwas anderes Notenblatt, quasi. „Part […]
Klein & kurzweilig:
13 Levels of Beatboxing
2011 und 2012 hatte ich bereits coole Beatbox-Loop Machine-A Capella-Cover von Mike Tompkins hier im Blog, jetzt folgt ein Video aus 2017, das aber absolut zeitlos ist – zumindest, in der Weihnachtszeit. Denn der Gute […]
Swissbeatbox hat den mexikanischen Beatboxer Grizzy getroffen und einige seiner mundgeblasenen Sounds aufgenommen. Inklusive einnehmender Body-Performance. Nicht schlecht! via: itsrap
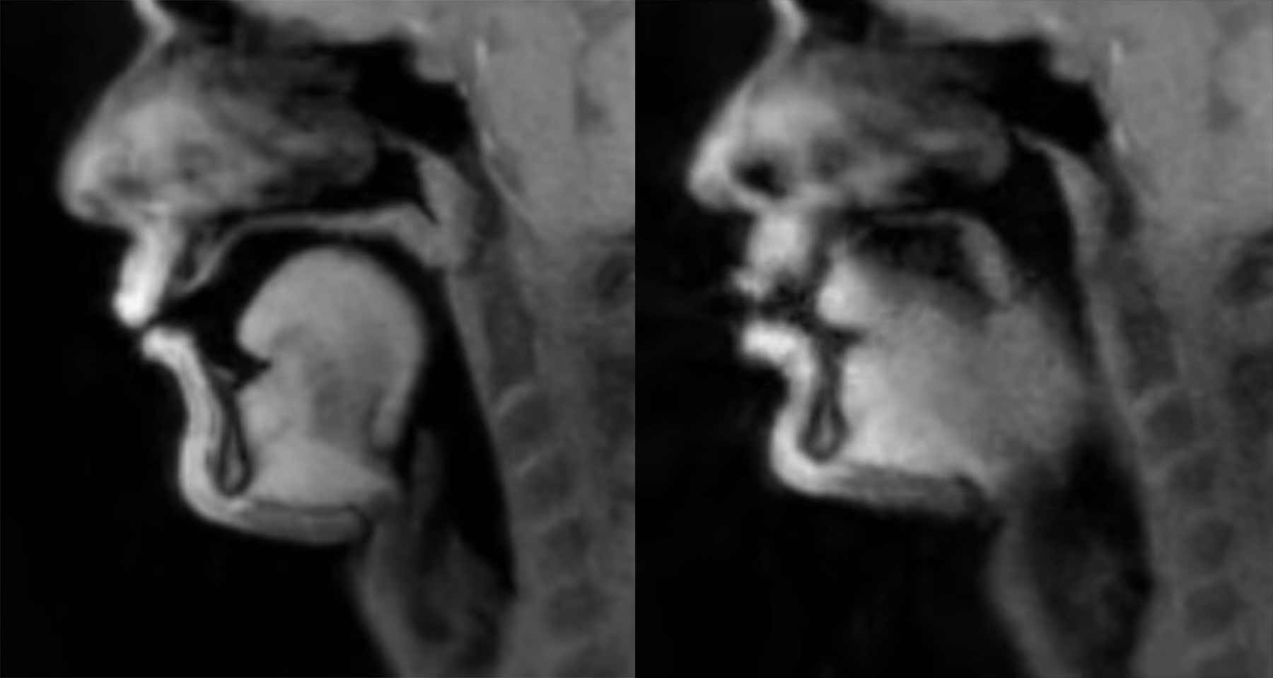
In der WIN Compilation Mai 2018 hatten wir noch einen Ausschnitt, in dem in einem MRT gesprochen wurde. Das war schon ungemein interessant und ein mittelschwerer technisch-medizinischer Durchbruch. Dr. Jens Frahm vom Max-Planck-Institut war das […]
















